
Tại sao răng bé lại bị vàng: Có những cách nào để khắc phục khi răng bé bị vàng
Vấn đề răng bị ố vàng đối với những loại trẻ nhỏ thực chất có rất nhiều và đây chính là một trong những dấu hiệu để nhận biết đối với các loại bệnh lý về răng miệng của bé mà bố mẹ cần phải thực sự quan tâm. Răng bé bị vàng thực chất sẽ ở một số trường hợp do bẩm sinh, tuy nhiên vẫn cần phải tìm hiểu rõ để nhằm xác định đúng được những nguyên nhân của loại bệnh lý này. Nha khoa Home Dental sẽ hỗ trợ được một vài thông tin và kiến thức về cách xử lý nếu thật sự phát hiện được tình trạng chiếc răng của bé bị ố vàng.
Contents
1. Răng bé bị vàng sẽ được như thế nào?
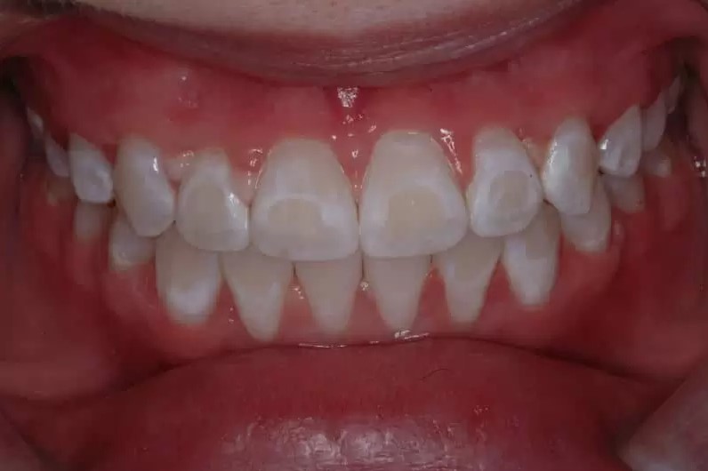
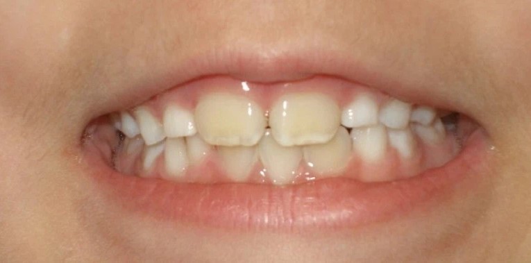
Răng bé bị vàng là một trong những hiện trạng sức khỏe răng miệng đang mắc phải một số vấn đề cụ thể và cần được chắc chắn được khắc phục tình trạng răng bởi có một số phương pháp phù hợp. Trên thực tế, có khá nhiều trường hợp hoặc tình huống khác nhau sẽ dẫn đến những vấn đề răng của bé bị ố vàng. Chính vì thế, bạn sẽ cần phải thật sự nhận biết rõ được các loại dấu hiệu của răng bị ố vàng là sự thay đổi về hình dạng màu sắc từ trắng ngà tự nhiên sang vàng đục và nâu đậm hoặc bị xám bạc.
2. Tại sao răng bé lại có hiện tượng bị vàng?
Trên thực tế, răng của bé bị vàng sẽ do khá nhiều tác động khác nhau mà đôi khi bạn sẽ không thể kiểm soát hoặc ngăn tránh được khá nhiều. Bên cạnh đó, răng bé sẽ bị vàng đôi khi chỉ là những biểu hiện thông thường đối với sự chuyển biến của một vài yếu tố nội sinh khác nhau. Tuy vậy, ở một số trường hợp cụ thể thì đây sẽ chính là dấu hiệu để bạn có thể nhận biết được các loại bệnh lý, dưới đây là một số những lý do sẽ dẫn đến tình trạng răng bé bị vàng.
Do bị sâu răng
Có thể nói, tình trạng bị sâu răng chính là một trong những tình trạng có thể sẽ thường gặp đối với những trẻ em cũng như vô cùng nhiều loại biến chứng cần phải được xác định và thực hiện tiến hành điều trị răng. Thông thường, khi bị vi khuẩn tác động thì răng sẽ thường có xu hướng xỉn màu và trở nên vàng hơn so với màu sắc tự nhiên của răng sữa của trẻ nhỏ. Thế nên, sâu răng chính là một trong những tác nhân chính hoặc có thể nói rằng bé bị vàng răng là dấu hiệu bị sâu răng.

Do bị di truyền
Trên thực tế, yếu tố bị di truyền thực sự tác động khá lớn đến với những loại kết cấu và những tình trạng nội sinh khác đối với cơ thể của trẻ em cũng như sau thời gian dài để phát triển đến trưởng thành. Về cơ bản, răng bé bị vàng là do yếu tố di truyền thì thực chất tương đối sẽ khó khăn khi thực hiện điều trị cũng như tiến hành cải tạo lại màu sắc trắng ngà thông thường.
Do trẻ bị mắc một số bệnh về răng miệng
Ở một số bệnh lý cụ thể, trẻ cần phải sử dụng các loại thuốc đặc tính nhằm để phục vụ cho quá trình điều trị cũng như hồi phục hoặc đôi khi răng bé bị vàng là do sự tác động trực tiếp của một số mầm bệnh khác tác động. Chính vì thế, đối với trường hợp này, để nhằm cải thiện được những vấn đề răng của trẻ bị ố vàng thì phụ huynh cần phải chữa trị dứt điểm đối với các loại bệnh lý có ảnh hưởng cụ thể.
Do bị bệnh vàng da
Hiện nay, theo một số những thống kê thì bệnh lý vàng da ở trẻ em đã có sự phát triển cũng như có nhiều trường hợp phổ biến khác mà nhất định cha mẹ cần phải được quan tâm. Bên cạnh đó, bệnh vàng da cũng sẽ có đôi phần sẽ tác động đến sức khỏe và làm răng cho bé bị vàng nếu không được đề ra liệu trình và phương án thực hiện điều trị cụ thể.
Do tác động của thuốc Tetracycline
Trong loại thuốc này sẽ có chứa một số thành phần tạo ra tác dụng phụ ảnh hưởng đến quá trình chuyển đổi nội sinh trong cơ thể của con người đặc biệt là những đối tượng trẻ nhỏ. Điều này, cũng chính là một trong những lý do khiến răng bé bị vàng mà còn phụ huynh nên quan tâm cũng như chú ý để tránh được vấn đề bất cập.
Do quá trình bị nhiễm Flours
Về thực tế, có thể nói Flours sẽ có vai trò rất tốt trong việc thực hiện hỗ trợ tăng sức khỏe cũng như khả năng đề kháng đối với những trẻ em nhỏ. Tuy nhiên, nếu cha mẹ cho trẻ hấp thụ quá nhiều sẽ dẫn đến tình trạng thừa Fluor sẽ dẫn đến các vấn đề biến chứng khác nhau trong đó hiểu hiện của răng bé bị vàng chính là một trong những yếu tố dễ dàng nhận thấy và cần được quan tâm nhiều nhất.

Do bị chấn thương
Trên thực tế có thể nói rằng, việc chấn thương cũng được xem là một trong những loại nguyên nhân dẫn đến răng bé bị vàng. Điều này là do, trong quá trình vận động hoặc sinh hoạt hàng ngày răng của bé bị tác động mạnh dẫn đến nứt hay mẻ làm lộ ngà. Chính vì vậy, yếu tố lộ ngà sẽ là một trong những nền tảng để răng của bé dễ dàng bị vi khuẩn xâm nhập và làm biến đổi màu sắc sang ngả vàng cũng như sẽ gặp một số bất cập khác.
Do chế độ ăn uống và chăm sóc không đảm bảo khoa học
Bên cạnh các nội dung trên thị thực chất vấn đề ăn uống cũng như có đôi phần bị ảnh hưởng và tác động trực tiếp đến màu sắc của răng bé. Thì trên trên thực tế, ở độ tuổi nhỏ, trẻ em sẽ thường dùng đến các loại siro có màu cũng như đường, điều này sẽ dẫn đến việc bám vết bẩn dần dần và không được chăm sóc vệ sinh thường xuyên thì sẽ tích tụ và làm răng bé bị ố vàng.
Một số loại dấu hiệu cho thấy răng bé sẽ bị vàng
Trên thực tế có thể dễ dàng nhận thấy được các loại vấn đề về răng miệng của trẻ thông qua việc quan sát bằng mắt thường do lúc này thực sự có lớp men răng chưa hoàn thiện và còn tương đối khá mỏng. Để nhận biết được những loại vấn đề răng bé bị vàng thì phụ huynh có thể cần phải xem xét màu sắc và thông thường răng sữa của trẻ con cũng sẽ có màu trắng ngà và tương đối đều về sắc độ.
Răng bé bị vàng có làm ảnh hướng như thế nào hay không?
Trên thực tế, răng bé bị vàng chính là một trong những nền tảng của các loại vấn đề về bệnh lý do vi khuẩn gây ra và cần phải được điều trị kịp thời. Có thể hiểu đơn giản rằng, răng bé thông thường sẽ ở trạng thái trắng ngà nhưng do một số tác động ở chế độ ăn sẽ dẫn đến việc bám dính thực phẩm lâu ngày không được tiến hành làm sạch sẽ gây ra hiện tượng bị ố vàng.
Răng bé bị vàng thì phải làm sao?
Vấn đề răng bé bị vàng thực chất là một trong những tình trạng bắt gặp vô cùng khá nhiều cũng như có khá nhiều tỷ lệ phổ biến tương đối cao ở các độ tuổi khác nhau của trẻ em. Chính vì vậy, phụ huynh phải đặc biệt lưu ý đến một số vấn đề này và thực sự có biện pháp phù hợp để tiến hành điều trị.
Đối với những bé từ khoảng 0 – 1 tuổi
Trên thực tế, đây là độ tuổi còn khá nhạy cảm đối với trẻ nhỏ và đồng thời việc thực hiện mọc răng sữa vừa xuất hiện cũng chưa thể đảm bảo các loại vấn đề cơ bản và rất dễ bị tác động bởi các loại yếu tố từ bên ngoài. Vào thời điểm răng bé bị vàng khi đang ở độ tuổi dưới 12 tháng thì cha mẹ chỉ nên sử dụng nước muối nhạt để tiến hành vệ sinh và thăm khám tại nha khoa và nhận tư vấn rõ ràng hơn.

Đối với những bé từ khoảng 1- 5 tuổi
Đây sẽ là một trong những giai đoạn mà trẻ đã bắt đầu có ý thức cụ thể về thức ăn và cũng dần được tiếp xúc và nhai thực phẩm với nhiều loại thành phần khác nhau. Tuy vậy, để hạn chế được vấn đề răng bé bị vàng và phụ huynh nên tránh cho trẻ phải sử dụng các loại đồ ăn. Bên cạnh đó, bạn không được tự ý thực hiện tẩy trắng răng ngay tại nhà dù bằng mọi phương pháp mà nên đưa bé đến nha khoa để tiến hành thăm khám.
Đối với bé từ khoảng 6 – 10 tuổi
Khi đến giai đoạn khoảng 6 – 10 tuổi của trẻ, nếu xuất hiện tình trạng bị ố vàng răng thì phụ huynh không nên thực hiện phải tẩy trắng mà chỉ cần rèn luyện thói quen làm sạch răng miệng của bé hơn. Cụ thể, đây chính là một trong những lúc thay răng sữa chuyển thành vĩnh viễn thế nên không phải bận tâm tới những vấn đề làm sạch răng sữa vì nó sẽ phải rụng trong thời gian ngắn sắp xảy ra.
Đối với những bé trên 10 tuổi
Nếu trẻ gặp được một số vấn đề ố vàng răng khi đến giai đoạn qua 10 tuổi thì lúc này hầu hết các chiếc răng sữa đã thay vĩnh viễn hoàn toàn cũng như việc cần phải chắc chắn bảo vệ tuyệt đối. Nếu răng bé bị vàng vào thời điểm khoảng ngoài 10 tuổi thì cha mẹ nên cần phải thực hiện đưa trẻ thăm khám cũng như có các loại biện pháp điều trị tại nha khoa.
Cách để thực hiện phòng tránh tình trạng răng bé bị vàng
Trên thực tế, việc thực hiện phòng tránh răng bé sẽ bị vàng chủ yếu được thực hiện bằng cách thực hiện vệ sinh thường xuyên và hạn chế có thể sử dụng các loại thực phẩm chứa nhiều loại màu sắc.
Bắt đầu ngay từ khi bé còn ở phía trong bụng mẹ
Như bạn đã được biết thì tình trạng sức khoẻ của bé sẽ phụ thuộc rất nhiều vào thể chất của người mẹ. Đây là một trong những cách ngăn chặn tình trạng răng bé bị ố vàng ngay từ trong bụng mẹ.
Xây dựng chế độ ăn uống khoa học
Trẻ em cần phải được xây dựng một chế độ ăn uống phù hợp nhằm để tránh các loại chứa khá nhiều phẩm màu. Đây sẽ là một trong những nội dung quan trọng nhất mà cha mẹ cần lưu ý nếu không muốn bé mắc phải một số vấn đề về răng miệng.
Chú ý các loại vệ sinh thực hiện chăm sóc răng miệng thường xuyên
Một lộ trình cùng việc giáo dục tư tưởng đối với một số vấn đề đánh răng và chăm sóc răng miệng là điều khá tất yếu cần phải giảng dạy cho trẻ. Thực tế có thể nói, đây là một trong những biện pháp nhằm để hỗ trợ tốt cho các cách phòng chống răng bé bị ố vàng.

Đi khám và tiến hành lấy cao răng theo định kỳ của bác sĩ
Khám răng theo định kỳ chính là một trong những loại tiêu chuẩn nha khoa được các chuyên gia khuyên bạn chắc chắn nên thực hiện. Với việc này bạn sẽ dễ dàng phát hiện được tình trạng của răng miệng của bé và đề ra được phương án trị liệu phù hợp cùng như rất kịp thời.
