
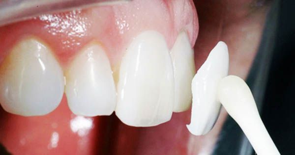
Dán sứ veneer có đau không?
Cải thiện thẩm mỹ răng bằng phương pháp dán sứ veneer được nhiều khách hàng ưu tiên lựa chọn. Tuy nhiên, trước khi thực hiện phương pháp này có rất nhiều khách hàng còn băn khoăn về vấn đề dán sứ veneer có đau không? Để giúp khách hàng yên tâm trong quá trình thực hiện, chúng tôi sẽ giải đáp thắc mắc chi tiết ngay dưới bài viết sau đây.
Contents
Dán sứ Veneer có đau không?
Có nhiều trả lời việc “Dán sứ Veneer không đau”, nhưng câu trả lời này là hoàn toàn không đúng. Bởi vì việc mài răng, dù mài chút ít cũng sẽ gây ảnh hưởng tới răng thật và sẽ tạo cảm giác hơi ê buốt trong quá trình mài răng.
Tuy nhiên, nếu bạn đến các nha khoa uy tín thì việc sử dụng các kỹ thuật gây tê hiện đại hoặc kết hợp cùng kỹ thuật mài răng sẽ bảo tồn tối đa phần răng thật. Nên quá trình dán sứ Veneer có thể sẽ trở nên nhẹ nhàng hơn trước rất nhiều. Bên cạnh đó, khách hàng cũng sẽ không cảm thấy đau hay buốt khi dán sứ Veneer.
Sau khoảng 2 tiếng, khi thuốc tê tan hoàn toàn thì bạn có thể thực hiện ăn uống và giao tiếp hoàn toàn bình thường.
Bên cạnh đó, việc dán sứ Veneer có đau hay không sẽ còn phụ thuộc nhiều vào tay nghề bác sĩ.

Nguyên nhân dán sứ veneer bị đau
Thông thường, sau khi dán sứ veneer khoảng 2-3 ngày bệnh nhân sẽ có cảm giác hơi ê và sẽ biến mất nhanh chóng. Tuy nhiên, tình trạng đau, ê ẩm kéo dài nguyên nhân do đâu:
Nền răng bị yếu
Nguyên nhân nền răng yếu có thể là do cơ địa của con người. Bạn có thể cải thiện tình trạng ê buốt hoặc đau nhức bằng cách sử dụng kem đánh răng chống ê buốt.
Không điều trị bệnh lý răng miệng triệt để
Một quy trình dán sứ veneer chuẩn là trước khi thực hiện, bạn sĩ phải thực hiện thăm khám tổng quát, điều trị triệt để bệnh lý răng miệng và có hướng điều trị triệt để. Tuy nhiên, nếu chưa được xử lý dứt điểm thì vi khuẩn còn sót lại sẽ rất dễ gây đau hoặc khó chịu kéo dài.

Kỹ thuật dán sứ veneer không đúng cách
Một trong những nguyên nhân gây tình trạng đau nhức sau dán sứ veneer nhiều khách hàng gặp phải chính là bác sĩ thực hiện không đúng kỹ thuật. Việc mài răng với tỷ lệ lớn mà không được tính toán kỹ lưỡng sẽ có thể khiến gặp tình trạng ê nhức, răng nhạy cảm khi ăn đồ ăn quá nóng hoặc quá lạnh. Hoặc mặt dán sứ thiết kế không phù hợp có thể sẽ gây nên tình trạng cộm vướng, khó chịu… Tình trạng dán sứ veneer bị đau là do lấy dấu và thử răng nhiều lần làm tổn thương răng và nướu.
Chế độ ăn uống không khoa học
Thói quen ăn uống không được khoa học, không phù hợp như ăn đồ ăn quá cứng hoặc quá dai cũng chính là nguyên nhân gây đau sau khi dán sứ veneer.
Biện pháp khắc phục tình trạng dán sứ veneer bị đau
Lựa chọn nha khoa dán sứ veneer có bác sĩ tay nghề cao
Tay nghề bác sĩ sẽ quyết định ca dán sứ veneer có thành công hay không và việc đau nhức khi dán sứ phần lớn cũng do quá trình thực hiện mài răng. Bởi việc mài lớp về mặt trước khi dán sứ là vô cùng mỏng, chỉ tính bằng khoảng mm. Do đó, việc sử dụng máy mài đòi hỏi bác sĩ phải chắc chắn có tay nghề tốt. Vậy nên, hãy tìm hiểu thật kỹ và thận trọng về tay nghề bác sĩ trước khi đưa ra quyết định làm răng sứ.
Vệ sinh răng miệng sạch sẽ, đúng cách
Thông thường, ở các nha khoa uy tín, sau khi dán sứ Veneer bác sĩ tiến hành dặn dò bạn kỹ lưỡng các lưu ý chăm sóc răng miệng sao cho hiệu quả. Bởi điều này, có khả năng giúp hạn chế tối đa việc tích tụ vi khuẩn gây ra các bệnh lý răng miệng không cần thiết.
Do đó, hãy chắc chắn tuân thủ nghiêm chỉnh những lưu ý đó để giúp hàm răng của bạn luôn khỏe mạnh và trắng sáng hơn.

Tiến hành thăm khám thường xuyên
Sau khi dán sứ veneer, bạn sẽ được bác sĩ hẹn lịch tái khám khoảng 3 ngày sau đó để kiểm ra chi tiết khớp cắn, độ bám keo hoặc kiểm tra xem có biến chứng gì xảy ra không. Do đó, lời khuyên dành cho bạn là không nên bỏ lỡ bất kỳ buổi tái khám định kỳ nào. Nếu bạn cảm thấy ê buốt hay có vấn đề gì xảy ra bác sĩ sẽ phát hiện và tiến hành xử lý kịp thời.
Lên kế hoạch chế độ ăn uống, hợp lý
Sau khi dán sứ, bạn nên tránh sử dụng những loại thực phẩm quá cứng hoặc quá lạnh…Dù có độ cứng nhất định, nhưng không đồng nghĩa với việc bạn có thể ăn tùy thích các loại đồ ăn, điều đó rất dễ khiến răng sứ bị xuống cấp hoặc khiến răng nhạy cảm hơn.
