
Bọc răng sứ toàn hàm là gì? Khi nào cần thực hiện bọc răng cho cả hàm?
Bọc răng sứ toàn hàm là gì? Và khi nào thì cần bọc răng sứ?. Hiện nay, câu hỏi này đang được rất nhiều khách hàng quan tâm tìm kiếm. Trên thực tế, khi nào bạn cần thực hiện bọc răng cho cả hàm thì nó phụ thuộc vào rất nhiều yếu tố. Cụ thể như sau:
Contents
1. Tìm hiểu về bọc răng sứ toàn hàm là gì?
Bọc răng sứ nguyên hàm là giải pháp để sử dụng các loại mão răng sứ lõi rỗng nhằm để khắc phục khuyết điểm vẻ bề ngoài của răng. Mão sứ này thường có hình dáng, kích thước và màu sắc tương tự giống như răng thật.
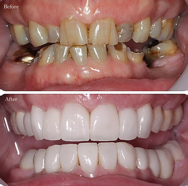
Các khuyết điểm của răng như mọc lệch, xỉn màu, ố vàng và lỗ chỗ thường sẽ thay răng bọc sứ trở thành các loại răng trắng sáng và đều đặn.
Bọc răng sứ toàn hàm thường có 2 loại chính, đó là răng sứ mão kim loại và răng toàn sứ.
1.1 Răng sứ mão sứ kim loại
Đây là loại có cấu tạo khung sườn được làm bằng kim loại. Răng sứ này có độ cứng chắc và đảm bảo khả năng chịu lực ăn nhai cực kỳ hiệu quả.
Tuy nhiên, răng sứ này thường có yếu điểm đó là dễ bị oxy hóa trong môi trường khoang miệng.
Do lớp khung sườn được làm bằng kim loại nên sau thời gian dài sử dụng thì lớp khung sườn này sẽ bị oxy hóa trong môi trường miệng và thức ăn. Làm đen viền nướu và lộ rõ bóng đen.
Với loại răng này thường có độ bền duy trì được khoảng từ 5 năm. Chất liệu titan trong lớp khung sườn thường có độ bền duy trì được từ khoảng 7-10 năm.
1.2 Răng chất liệu toàn sứ
Răng toàn sứ thường có cấu tạo hoàn toàn bằng sứ bao gồm cả lớp men bên ngoài đến các khung sườn bên trong. Răng toàn sứ có thể khắc phục được hầu hết các loại nhược điểm của loại răng sứ kim loại.
Phôi sứ có chất liệu cao cấp thường được nung ở nhiệt độ cao và đảm bảo độ cứng chắc. Do vậy, độ bền của răng toàn sứ sẽ có thể lên đến khoảng 20 năm. Thậm chí là lâu hơn nữa nếu chúng ta biết cách chăm sóc và giữ gìn sạch sẽ.
Để thực hiện bọc răng sứ nguyên 1 hàm thì bác sĩ sẽ tiến hành mài nhỏ các loại răng thật để tạo trụ. Sử dụng các mão răng sứ đã chế tác từ trước để nhằm bao phủ phía bên ngoài của trụ răng. Và bảo vệ răng thật khỏi các tác động mạnh bên ngoài.

2. Khi nào khách hàng cần bọc răng sứ nguyên hàm?
Theo các nha sĩ, những người có nhiều khuyết điểm về răng thì cần tìm đến phương pháp bọc răng sứ nguyên hàm. Cụ thể như:
2.1 Bọc răng sứ toàn hàm với răng nhiều nhược điểm
– Răng mọc lệch lạc và răng thưa có kẽ hở
– Răng bị sâu, có các mảng nứt và bị vỡ lớn không thể áp dụng được các phương pháp trám răng
– Răng bị viêm nha chu, viêm lợi và nướu xung quanh
– Răng bị lung lay nhiều, yếu và không có khả năng thực hiện hoạt động ăn nhai
– Răng ngắn thường bị cười hở lợi
– Răng bị vỡ hơn 50% và vỡ sát tủy xương hoặc không thể giữ lại được nữa.
2.2 Bọc răng sứ toàn hàm với răng ố vàng và nứt vỡ
Khi chúng ta ăn nhiều thực phẩm có màu hoặc uống nhiều loại nước chứa quá nhiều axit, màu đậm như sinh tố, nước ép và các loại sốt, rượu vang. Sẽ dễ khiến hàm răng bị nhiễm màu và làm giảm đi tính thẩm mỹ khi giao tiếp.
Những người răng ngả vàng do thói quen uống cà phê và hút thuốc lá lâu năm thường rất khó để thực hiện việc tẩy trắng răng. Chỉ nên bọc răng sứ toàn bộ hàm thì mới là giải pháp tối ưu nhất để cải thiện được triệt để khuyết điểm này.
Ngoài ra, những loại răng bị vỡ, nứt, lung lay do va chạm và tác động mạnh nên áp dụng phương pháp này để thực hiện phục hình răng. Phương pháp nhằm đảm bảo tính thẩm mỹ và chức năng ăn nhai của con người.
2.3 Răng bị xỉn màu và lỗ chỗ không đều
Có nhiều người do hay sử dụng thuốc kháng sinh như Tetracycline, Doxycycline thì các thành phần thuốc này thường có tác động lên răng làm men răng và ngà răng bị nhiễm màu cực kỳ nặng.
Ngoài ra, khoang miệng có thể mắc một số bệnh lý như sâu răng, viêm nướu và nhiễm trùng cũng có thể gián tiếp làm cho màu răng bị biến đổi.
2.4 Nên làm răng sứ toàn hàm không?
Phương pháp bọc răng sứ cả hàm thường được bác sĩ áp dụng nhằm để khắc phục cho nhiều khuyết điểm khác nhau. Đây là loại phương pháp để bảo vệ những chiếc răng bị tổn thương và cải thiện được tính thẩm mỹ hàm răng được đánh giá là hiện đại và an toàn nhất.
Vì thế, bác sĩ khuyến khích khách hàng đang có nỗi lo về hàm răng nên nhanh đi bọc răng sứ. Đặc biệt, là việc bọc răng toàn hàm thì có thể điều trị triệt để. Răng sứ có những điểm vượt trội so với các loại răng khác như:
– Có tính thẩm mỹ khá cao. Các loại răng này được phủ lớp sứ trắng, có màu sắc, hình dáng và đường vân răng cực kỳ tự nhiên giống như răng thật.
– Cứng chắc và cải thiện được khả năng ăn nhai tốt. Răng này có thể chịu lực được khoảng 90% so với các loại răng thật. Sau khi bọc răng toàn hàm thì chúng ta vẫn có thể ăn uống bình thường mà không gặp quá nhiều trở ngại.
– Răng sứ có độ bền cao, tuổi thọ có thể lên đến 20 năm và thậm chí là có thể vĩnh viễn. Khách hàng có thể yên tâm sử dụng lâu dài, không mất thời gian và tiền bạc để thay đổi thường xuyên.

3. Bọc răng sứ 1 hàm loại nào tốt nhất?
Trên thị trường có rất nhiều loại răng sứ khác nhau, mỗi loại sẽ có những ưu nhược điểm riêng. Chúng ta, có thể tham khảo một số loại răng sứ sau đây.
3.1 Mặt dán sứ veneer
Là loại mặt nhựa mỏng dày khoảng 3mm, có màu sắc và hình dáng rất tự nhiên như răng thật. Chúng được thực hiện dán lên mặt của loại răng thật. Hạn chế được tối đa việc mài răng và có thể giúp bảo tồn được răng gốc. Phương pháp này được áp dụng với trường hợp răng bị xỉn màu nhẹ và cung hàm đều đặn không bị xô lệch răng khỏe mạnh.
3.2 Răng có chất liệu toàn sứ
Răng toàn sứ khách hàng nên ưu tiên lựa chọn hơn vì có tính thẩm mỹ cao và độ bền chắc lâu dài. Răng sứ gồm các loại sứ cao cấp như Emax, Cercon và Zirconia đảm bảo lành tính tuyệt đối và giữ được màu lâu nên phù hợp cho tất cả các tình trạng răng.
Đặc biệt, khách hàng có khuyết điểm răng nặng muốn thực hiện cấy ghép implant hay bảo tồn răng đều có thể áp dụng được hết.
3.3 Răng sứ có chất liệu titan
Nếu khách hàng không vị trí bọc răng sứ không quá phức tạp thì có thể lựa chọn loại răng sứ titan. Răng sứ này tuy có nhược điểm về thẩm mỹ nhưng sẽ có hiệu quả ăn nhai tốt, đảm bảo an toàn cho răng miệng và không hề gây kích ứng với các trường hợp da nhạy cảm.
4. Nên thực hiện bọc răng sứ nguyên hàm ở đâu uy tín nhất?

Nha khoa Home Dental là địa chỉ nha khoa tiêu chuẩn Pháp chuyên sâu tại Việt Nam. Tại đây, có các dịch vụ như: chỉnh nha, thẩm mỹ răng, phục hình răng, vệ sinh răng miệng và phẫu thuật hàm gần hơn 10 năm kinh nghiệm.
Với đội ngũ bác sĩ chất lượng và hệ thống thiết bị máy móc tiên tiến thì nha khoa Home Dental luôn nằm trong top những địa chỉ bọc răng sứ nguyên hàm tốt nhất ở Việt Nam.
Hơn nữa, tại đây có một số các chính sách trả góp, khuyến mãi và tặng quà để hỗ trợ chi phí cho khách hàng. Kèm theo đó là những cam kết về quyền lợi, chính sách bảo hành và chăm sóc răng sau khi điều trị.
Trên đây, bác sĩ đã trả lời thắc mắc cho quý khách hàng về việc bọc răng sứ toàn hàm giá bao nhiêu và gợi ý cho khách hàng địa chỉ uy tín nhất khi có nhu cầu bọc răng sứ. Quý khách nếu cần tư vấn tình trạng răng miệng nhanh chóng thì hãy liên lạc ngay với bác sĩ tại đây để hiểu rõ hơn.
