
Bọc răng sứ bị viêm lợi có nguy hiểm không?
Bọc răng sứ bị viêm lợi là tình trạng mà khá nhiều người có thể gặp phải. Nếu không tiến hành thực hiện điều trị sớm rất dễ dẫn tới các biến chứng nguy hiểm như viêm quanh răng, tiêu xương và rụng răng thật. Vậy đâu là nguyên nhân và cách khắc phục tình trạng bọc răng sứ bị viêm lợi thì hãy tham khảo ngay bài viết dưới đây nhé.
Contents
Nguyên nhân tình trạng bọc răng sứ bị viêm lợi
Bọc răng sứ bị viêm lợi do quy trình bọc răng không đúng cách
Nếu muốn kết quả bọc răng sứ thành công và không ảnh hưởng đến sức khỏe răng miệng thì quá trình bọc răng phải tuyệt đối đảm bảo an toàn.
Thế nhưng, không phải nha khoa nào cũng có thể đáp ứng được vấn đề này. Khiến cho khách hàng dễ gặp phải biến chứng bọc răng sứ bị viêm lợi. Cụ thể như sau:
- Bác sĩ không kiểm tra và điều trị dứt điểm các loại bệnh lý của bệnh nhân như sâu răng, viêm nướu… trước khi thực hiện bọc sứ. Khiến cho ổ vi khuẩn vẫn tồn tại và tiếp tục có thể tấn công gây viêm nhiễm, sưng đau nướu. Thậm chí, có thể dẫn đến viêm tủy hoặc áp xe răng đặc biệt nguy hiểm.
- Quá trình thực hiện mài răng sai kỹ thuật có thể dẫn tới mài quá sâu vào lợi gây phá vỡ khoảng sinh học. Từ đó, tạo điều kiện cho vi khuẩn xâm nhập xuống dưới và phá gây nên viêm lợi sau khi bọc răng sứ.
- Lúc lắp răng sứ xong không chú ý làm sạch chất gắn kết còn dư cũng sẽ dễ gây viêm phần chân răng khi bọc sứ.

Bọc răng sứ bi viêm lợi do chế tác răng sứ sai kỹ thuật
Sau khi mài răng thật, bác sĩ sẽ thực hiện chụp một mão sứ lên trên. Vì vậy, nếu chế tác răng sứ sai kích thước, không khớp với cùi răng rất dễ sẽ gây nên tình trạng hở, cộm, cong vênh… Làm cho thức ăn dễ giắt vào và khó vệ sinh, dẫn đến lâu ngày gây ra tình trạng viêm chân răng bọc sứ cùng một số bệnh lý khác nhau.
Bọc răng sứ bị viêm lợi do vệ sinh răng không kỹ lưỡng
Việc vệ sinh răng miệng không kỹ sẽ khiến cho thức ăn thừa không được làm sạch khỏi phần khoang miệng. Dần dần sẽ hình thành nên các mảng bám vôi răng chứa đầy các loại vi khuẩn. Chúng sẽ phát triển và tấn công chân răng thật bên trong gây tình trạng viêm nướu cấp sau khi thực hiện gắn răng sứ.
Dấu hiệu nhận biết tình trạng bọc răng sứ bị viêm nướu
Để biết tình trạng bọc răng sứ bị viêm nướu, bạn có thể dựa theo một số dấu hiệu sau:
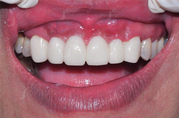
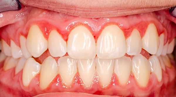
- Vùng nướu bị sưng lên, tấy đỏ và xuất hiện những cơn đaukéo dài âm ỉ. Một số trường hợp viêm chân răng bọc sứ nặng hơn sẽ xuất hiện ở phần ổ mủ có màu trắng đục.
- Nướu răng dễ bị chảy máu, đặc biệt là trong quá trình đánh răng. Mức độ ngày càng nghiêm trọng hơn theo dòng thời gian.
- Bị tụt nướu và lộ chân răng gây mất thẩm mỹ ảnh hưởng trong quá trình giao tiếp
- Nướu không còn bám chắc vào răng gây ra tình trạng răng bị lung lay
- Miệng có mùi hôi, đặc biệt khó chịu.

Bọc răng sứ bị viêm nước có nguy hiểm không?
Nếu gặp phải tình trạng bọc răng sứ bị viêm nướu thì không được chủ quan. Bởi bệnh sẽ không nhiên hết mà có thể tiến triển nặng hơn, dẫn tới nhiều ảnh hưởng xấu cho sức khỏe của răng miệng:
- Đau nhức nướu, răng gây khó khăn cho quá trình ăn nhai. Khiến cho thức ăn chưa được nghiền nhỏ mà đã nhanh chóng đưa thẳng xuống dạ dày. Làm cho dạ dày phải hoạt động nhiều hơn nên rất dễ gây ra các bệnh về đường tiêu hóa.
- Tăng nguy cơ phát triển nhiều bệnh lý răng miệng khác nhau như: viêm nha chu, tiêu xương ổ răng, nhiễm trùng và mất răng thật là điều chắc chắn không thể tránh khỏi.
- Viêm nướu, tụt lợi làm lộ phần chân răng sứ gây mất thẩm mỹ khuôn mặt.
- Hơi thở ngày càng nặng mùi gây cản trở đến việc thực hiện giao tiếp hàng ngày.
- Khi bị viêm nướu răng sứ, kèm theo các cơn đau kéo dài rất dễ gây ảnh hưởng không tốt tới hệ thần kinh, gây mất ngủ.
Cách khắc phục tình trạng bọc răng sứ bị viêm nướu
Tiến hành cạo vôi răng
Với những khách hàng bị viêm nướu không quá nặng thì bác sĩ sẽ tiến hành cạo vôi răng rồi làm sạch mảng bám và loại bỏ môi trường sống của vi khuẩn. Khi đó tình trạng bị viêm nhiễm sẽ giảm dần.
Cắt lợi
Trường hợp bị viêm nhiễm nặng có thể gây ra tình trạng tiêu xương ổ răng thì bác sĩ nên nạo sạch phần lợi bị viêm. Sau đó nên cắt đi một phần lợi để tránh cho răng sứ chụp lên lợi quá nhiều.
Bọc lại răng sứ mới
Ngoài 2 phương án trên, bác sĩ có thể chỉ định bọc lại loại sứ mới nếu nguyên nhân gây sưng, viêm chân răng bọc sứ là do răng sứ chế tác bị sai kích thước.
Mão sứ mới đảm bảo phải đúng tỷ lệ, sát khít với cùi răng và không gây ảnh hưởng đến phần vùng nướu.
Bên cạnh việc thực hiện điều trị tại nha khoa, khách hàng cũng cần phải chú ý chăm sóc răng miệng kỹ lưỡng ngay tại nhà. Hãy chắc chắn đảm bảo đánh răng ít nhất khoảng 2 lần/ngày và kết hợp dùng thêm chỉ nha khoa và nước súc miệng để thực hiện làm sạch phần khoang miệng. Đồng thời, nên thăm khám răng định kỳ khoảng 2 lần/năm, để bác sĩ làm sạch răng và kiểm tra tình trạng của răng sứ.
