Bọc răng sứ bị đen nướu: Nguyên nhân và cách khắc phục
Bọc răng sứ bị đen nướu là một trong những vấn đề nhiều người gặp phải sau khi tiến hành bọc răng. Vậy tại sao lại xuất hiện tình trạng này và cần làm gì để hạn chế việc làm răng sứ bị đen nướu. Tất cả vấn đề về bọc răng sứ bị đen sẽ được giải đáp ngay trong bài viết dưới đây.
Contents
Nguyên nhân quá trình bọc răng sứ bị đen nướu
Chất lượng răng sứ chất lượng kém
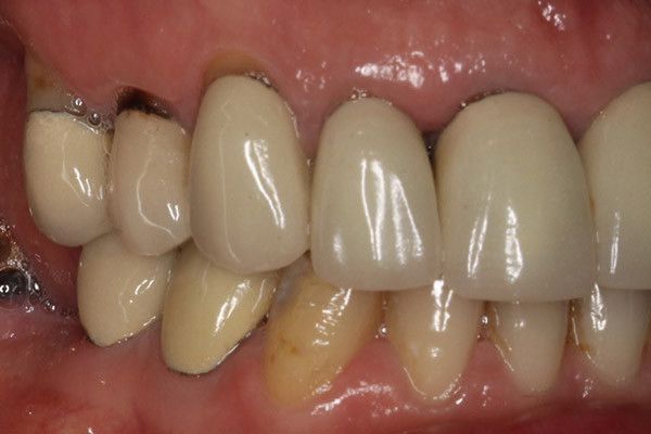
Bọc răng sứ bị đen nướu là một trong những vấn đề phổ biến sau khi thực hiện thẩm mỹ răng. Nguyên nhân của tình trạng này thường xuất phát từ chất lượng kém của răng sứ kim loại. Răng sứ kim loại bao gồm phần sứ bên trong được đúc từ kim loại và phần bên ngoài được phủ nhiều lớp sứ để tự nhiên hóa. Sau một thời gian sử dụng, tác động của môi trường nước bọt trong miệng có thể gây ra hiện tượng oxy hóa làm cho phần kim loại bên trong bị đen và lộ ra ngoài.

Cách chăm sóc không đúng cách
Cách chăm sóc răng không đúng cũng là một nguyên nhân chính có thể dẫn đến tình trạng bọc sứ bị đen nướu. Khi chải răng không đúng kỹ thuật, nướu gần chân răng có thể bị tuột lên, làm mài mòn phần sứ ở chân răng và dần dần lộ ra phần kim loại phía bên trong. Do đó, nếu không chú ý đến cách chăm sóc răng đúng cách, có thể tạo điều kiện cho tình trạng nướu thâm và đen.
Răng nhạy cảm nên kích ứng với thành phần bọc răng sứ
Bị kích ứng với thành phần bọc răng sứ là một vấn đề phổ biến đối với nhiều người do cơ địa của họ có thể phản ứng dị ứng với kim loại. Khi sử dụng răng sứ, có nguy cơ cao bị kích ứng gây viêm nướu và thậm chí có thể dẫn đến nhiễm trùng nặng. Vấn đề này, là một trong những nguyên nhân chính khiến cho nướu bị đen.
Kỹ thuật bọc răng sứ bị đen
Kỹ thuật bọc sứ đóng vai trò quan trọng trong việc xác định liệu răng sứ có bị đen hay không. Nếu kỹ thuật này không chính xác, có thể làm cho phần nướu ở chân răng lộ ra gây ảnh hưởng đến thẩm mỹ. Nếu có khoảng trống giữa răng sứ và nướu, thức ăn sau khi nhai có thể bám vào chân răng gây tác động đến chất men và làm thâm nướu.

Biện pháp khắc phục tình trạng bọc răng sứ bị đen nướu
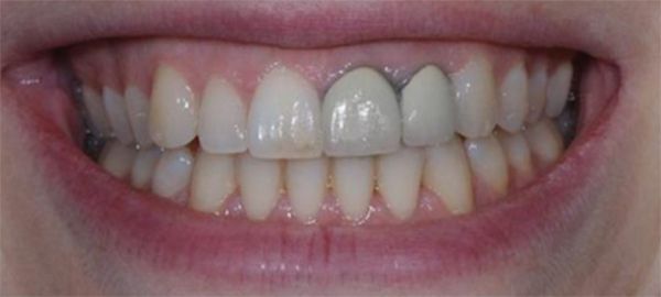
Để khắc phục tình trạng bọc sứ bị đen nướu thì nên thực hiện thay răng sứ mới. Theo các bác sĩ, để có thể tránh tình trạng bọc răng sứ lợi bị đen thì nên chọn dòng răng toàn sứ, bởi loại răng này sẽ không bị oxi hóa sau một khoảng thời gian sử dụng.
Nếu trong trường hợp đã thực hiện bọc răng toàn sứ nhưng vẫn bị đen viền nướu thì rất có thể bạn đã sử dụng răng sứ kém chất lượng. Lúc này bạn cần nhanh chóng đến gặp bác sĩ để tiến hành thay răng sứ mới. Bởi ngoài tình trạng bị đen viền nướu thì việc sử dụng răng sứ kém chất lượng còn có nguy cơ gây ra nhiều biến chứng nguy hiểm gây ảnh hưởng đến sức khỏe.
Gợi ý một số loại sứ khi dùng bọc răng sứ không bị đen nướu
Răng sứ Zirconia
Răng sứ Zirconia nổi bật với khả năng chịu lực lên đến khoảng 400 Mpa. Với độ bền chắc cứng, răng sứ Zirconia cũng có khả năng chống mài mòn cao. Lớp sứ bên ngoài được thực hiện phủ màu theo tỷ lệ chuẩn tạo nên màu tự nhiên giống như răng thật.

Răng sứ Cercon
Răng sứ Cercon là dòng sản phẩm được tạo ra theo công nghệ CAD/CAM hiện đại, với phần sườn được đúc bằng sứ Zirconia đảm bảo độ bền toàn diện.
Răng sứ HT Cercon/Smile
Răng sứ HT Cercon hay còn gọi răng sứ HT Smile, đây là loại răng sứ cao cấp trên thị trường hiện nay. Với khả năng chịu lực và tuổi thọ cao được nhiều nha sĩ tin tưởng và chọn lựa để điều trị hư tổn răng cho bệnh nhân.

Răng sứ Emax
Răng sứ Emax sản xuất trên công nghệ CAD/CAM hiện đại, có cấu tạo sườn bên trong bằng sứ Ceramic giúp nâng cao khả năng chịu lực của sản phẩm. Bên ngoài, được phủ bằng 5 lớp sứ tạo ra độ thấu quang mờ gần như răng thật. Mặc dù mỏng nhưng răng sứ Emax cần sự chăm sóc đặc biệt để che đi phần màu răng thật bên trong.
Một số lưu ý sau khi bọc răng sứ bị đen nướu
- Chải răng thường xuyên ít nhất 2 lần mỗi ngày với bàn chải lông tơ và ưu tiên sử dụng những loại kem đánh răng có chứa flour. Giữ thói quen đánh răng sau khi ăn nhằm bảo vệ răng sứ tốt nhất.
- Đánh răng theo chiều dọc để tránh làm hư tổn phần bề mặt răng. Hầu hết nhiều người có thói quen đánh răng theo chiều ngang. Nhưng hành động này sẽ vô tình làm cho răng sứ bị xô lệch và dễ bị hư hại sau khoảng thời gian dài tác động.
- Thay bàn chải định kỳ khoảng 3-4 tháng/lần để không tạo môi trường cho vi khuẩn có hại tích tụ vào trong.
- Sử dụng chỉ nha khoa, nước súc miệng và máy tăm nước để thực hiện vệ sinh răng sứ nhằm giúp răng không còn mảng bám.
